پژوهشی جدید نشان میدهد مغز در بیخوابی، مایع مغزینخاعی را مانند خواب عمیق جابهجا میکند؛ تغییری هماهنگ با جریان خون و مردمک که علت افت ناگهانی تمرکز است.
بیخوابی همیشه مانند سایهای سنگین بر ذهن انسان میافتد؛ سایهای که تمرکز را میبلعد و رشتهٔ فکر را چون نخ پوسیده پاره میکند. پژوهش تازهای که در مجلۀ Nature Neuroscience منتشر شده، پردهای تازه از این تجربه گشوده و نشان داده است که مغزِ بیخواب، وارد حالتی میشود که معمولاً فقط در خواب عمیق رخ میدهد.
برای دسترسی به اخبار و حواشی جدید سینما و به روزترین مقالات تکنولوژی، همچنین جهان بی پایان ویدیو گیم حتما به پلیفای سربزنید و از تماشای کانال یوتیوب ما غافل نشوید.

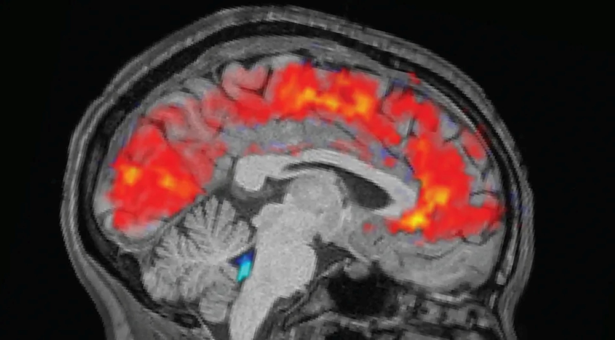
در این وضعیت، مایع مغزی–نخاعی، که همچون جویبار محافظ مغز جریان دارد، ناگهان از بافت مغز بیرون میرود و پس از چند لحظه بازمیگردد؛ رفتوبرگشتی که بخشی از فرایند پاکسازی مواد زائد است. این تغییر تنها به مایع محدود نمیشود. همزمان، جریان خون در بخشهای مختلف مغز دگرگون میشود و مردمک چشم، همان گشودۀ ظریف جهانبینی ما، تغییر اندازه میدهد.
نکتۀ مهم این پژوهش، هماهنگی شگفتانگیز این سه رخداد است. چیزهایی که پیشتر جداگانه بررسی میشدند، اکنون همچون سه ساز در یک ارکستر عصبی، همصدا عمل میکنند و لحظههای «خاموشی ذهن» پس از بیخوابی را پدید میآورند.
برای رسیدن به این نتایج، ۲۶ داوطلب جوان در دو وضعیت متفاوت بررسی شدند: شبی با خواب کامل و شبی با محرومیت کامل از خواب. تفاوت میان این دو حالت بهقدری محسوس بود که پژوهشگران توانستند الگوی مشخصی از رفتار مغز خسته ترسیم کنند.

این کشف نهتنها درک ما را از نقش حیاتی خواب عمیق گستردهتر میکند، بلکه نشان میدهد کمبود خواب چگونه میتواند عملکرد ذهن را در سادهترین کارهای روزانه مختل کند. اکنون واضحتر از همیشه است که بدن، حتی در لحظههای بیداری، گاه ناچار میشود برای بقای خود از منطق خواب پیروی کند.
در انتها از شما عزیزان دعوت میشود که برای مطالعه مقاله مربوط به مرگبارترین قرار عاشقانه اقیانوس؛ خشم اختاپوسهای ماده کلیک کنید.

دیدگاه کاربران (1 دیدگاه)